他说网

展开菜单

一个人能记住多少个人的脸 这个数字赌你猜不到

一个人能记住多少个人的脸 这个数字赌你猜不到
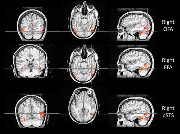
你能记住多少张脸?研究发现,人类平均能记住约 5000 张面孔(波动范围约为1000~10000),这一能力在自然界中无可比拟。而大多数动物识别同类主要依赖气味或声音,而不是脸。一些高度社会化的家畜,比如绵羊,在经过特殊训练后能记住大约 50 张羊脸,仅有人类的百分之一。除了人类以外的其他灵长类,识脸能力在动物界也属于佼佼者,但数量多在数十到上百张之间,目前仍缺乏确切的上限数据。为什么人类拥有如此出众的“认脸”能力呢?人类拥有与生俱来的“认脸系统”这是因为人脑中存在一套专门“...

西康高铁全线铺轨正式启动 全线桥隧比高达94%

西康高铁全线铺轨正式启动 全线桥隧比高达94%
        快科技10月12日消息,据媒体报道,西康高铁全线铺轨工作正式启动。随着首对500米长钢轨在西安东站至牛背梁站区间平稳铺设,标志着该线路建设进入全面攻坚阶段。西康高铁是国家“八纵八横”高速铁路网中包(银)海通道与京昆通道的关键组成部分。正线全长约171公里,设计时速350公里,线路从西安东站引出,穿越秦岭山脉,终至安康西站,共设6座车站。中铁一局承担全线施工任务,包括正线铺轨341.49公里、站线铺轨19.62公里,以及7...

碾压传统闪存!我国研发全球首个二维-硅基混合架构闪存芯片

碾压传统闪存!我国研发全球首个二维-硅基混合架构闪存芯片
         快科技10月11日消息,时隔半年,继“破晓(PoX)”皮秒闪存器件之后,复旦大学集成芯片与系统全国重点实验室集成电路与微纳电子创新学院的周鹏-刘春森团队研发出了“长缨(CY-01)”闪存架构。它将二维超快闪存器件“破晓(PoX)”与成熟硅基CMOS工艺深度融合,打造了全球首颗二维-硅基混合架构芯片。相关研究成果以《全功能二维-硅基混合架构闪存芯片》(A full-featured 2D flash chip...

高通公司回应涉嫌违反反垄断法:正积极配合有关调查

高通公司回应涉嫌违反反垄断法:正积极配合有关调查
快科技10月11日消息,因高通公司收购Autotalks公司未依法申报经营者集中,涉嫌违反《中华人民共和国反垄断法》,市场监管总局依法对高通公司开展立案调查。据新浪科技报道,高通公司对此回应称:我们正积极配合中国国家市场监督管理总局的有关调查。高通公司一直致力于支持我们的客户与合作伙伴的发展与增长。高通公司回应涉嫌违反反垄断法:正积极配合有关调查据了解,高通公司今年6月正式宣布,旗下子公司高通技术已经完成对Autotalks的收购。通过收购,高通将Autotalks的产品整合...

全球首颗!复旦团队成功研发二维-硅基混合架构闪存芯片

全球首颗!复旦团队成功研发二维-硅基混合架构闪存芯片
快科技10月9日消息,时隔半年,继“破晓(PoX)”皮秒闪存器件问世,复旦大学在二维电子器件工程化道路上,再获里程碑式突破。日前,复旦大学宣布,该校周鹏-刘春森团队研发的“长缨(CY-01)”架构,将二维超快闪存器件“破晓(POX)”与成熟硅基CMOS工艺深度融合,率先研发出全球首颗二维-硅基混合架构芯片。相关研究成果以《全功能二维-硅基混合架构闪存芯片》(A full-featured 2D flash chip enabled by system integration)...

台风“夏狼”逼近!日本发布最高级别警报:可能遭遇数十年一遇灾害

台风“夏狼”逼近!日本发布最高级别警报:可能遭遇数十年一遇灾害
快科技10月9日消息,据媒体报道,2025年第22号台风“夏浪”预计将于当地时间9日凌晨至早晨逼近日本伊豆群岛。日本气象厅已发布暴风和巨浪特别警报,警示该地区可能遭遇数十年一遇的大规模灾害。据日本气象厅指出,伊豆群岛可能因强风出现建筑物倒塌,并受巨浪影响发生大范围浸水等严重灾情。此外还需警惕山体滑坡、低洼地区内涝及河流泛滥等次生灾害。当局呼吁当地民众密切关注避难指示,及时转移至安全场所。预计“夏浪”将以每小时20至25公里的速度向北偏东方向移动,强度暂时维持,9日白天逐渐转向...

祝贺!我国突破全固态电池领域关键技术瓶颈

祝贺!我国突破全固态电池领域关键技术瓶颈
快科技10月9日消息,据媒体报道,我国科研人员成功攻克全固态金属锂电池的界面接触难题,为该技术的实用化扫清了关键障碍。中国科学院物理研究所/北京凝聚态物理国家研究中心黄学杰研究员团队,联合华中科技大学张恒教授团队、中国科学院宁波材料技术与工程研究所姚霞银研究员团队,开发出一项阴离子调控技术,可在电极与电解质之间构筑全新界面结构,有效解决了制约全固态电池走向实际应用的核心瓶颈。全固态金属锂电池被誉为下一代储能技术的“圣杯”,能量密度高、安全性好,极具应用潜力。然而,其发展长期受...

庆国庆 “吉林一号”卫星俯瞰五大大国工程

庆国庆 “吉林一号”卫星俯瞰五大大国工程
国庆长假期间,“吉林一号”做了一系列的卫星照特辑,每天都在展示祖国的壮丽,这里来看看卫星眼中的五个大国工程。平潭海峡大桥福建省第一座真正意义的跨海特大桥。起点位于福清市东瀚镇平潭主线收费站,跨越海坛海峡,经北青屿终点至平潭综合实验区,投资11.3亿元。港珠澳大桥中国境内连接香港、珠海和澳门的桥隧工程,因超大的建筑规模空前的施工难度和顶尖的建造技术而闻名全世界。中国能建哈密50Mw熔盐塔式项目中国能源建设集团投资、建设和运营的塔式熔盐光热发电项目。2021年建成投运,年发电量约...

2025年诺贝尔物理学奖公布:3名科学家平分836万元奖金

2025年诺贝尔物理学奖公布:3名科学家平分836万元奖金
        快科技10月7日消息,瑞典皇家科学院决定将2025年诺贝尔物理学奖授予——科学家约翰·克拉克、麦克·H·德沃雷特、约翰·M·马蒂尼,以表彰他们“发现电路中的宏观量子力学隧道效应和能量量子化”。      获奖者将平分1100万瑞典克朗(约合836万元人民币)奖金。         诺贝尔物理学奖(英语:Nobel prize in Physi...

固态锂电池重磅突破!我国研究出可弯折20000次柔性电池

固态锂电池重磅突破!我国研究出可弯折20000次柔性电池
       快科技10月7日消息,据中国科学院金属研究所日前消息,该所科研团队在固态锂电池领域取得突破,为解决固态电池界面阻抗大、离子传输效率低的关键难题提供了新路径。该研究成果已于近日发表在国际学术期刊《先进材料》上,为发展高性能、高安全性固态电池提供了新的材料设计思路。固态锂电池因其高安全性和高能量密度,被视为下一代储能技术的重要发展方向。然而,传统固态电池中电极与电解质之间的固-固界面接触不良,导致离子传输阻力大、效率低,严重制...

中国治沙47年 竟然不是为了消灭沙漠

中国治沙47年 竟然不是为了消灭沙漠
随着塔克拉玛干沙漠边缘建成 3,046 公里绿化带,我国 “ 锁边固沙 ” 战略可以说是取得了决定性的胜利。但这时候就有人要说啦,哎呀沙漠也是对生态有用的呀!你们这样破坏了沙漠,那不是破坏了自然环境吗!呃……这个吧……咱们也不卖关子,开篇明义吧。沙漠,确实有用,但对中国乃至全世界来说,咱们还远远没有到 “ 可以嫌弃沙漠太少 ” 的时候。今天咱们来聊聊,沙漠对自然环境,到底有什么用处?沙漠的用处 极端温差调节全球气候 从全球生态系统来看,沙漠是地球非常重要的...

嫦娥六号月壤研究有新发现 科学家称月球背面月幔比正面更冷

嫦娥六号月壤研究有新发现 科学家称月球背面月幔比正面更冷
       快科技10月6日消息,今日,国家航天局和国家原子能机构联合发布嫦娥六号月球背面样品研究最新成果。中国科学家首次基于嫦娥六号月球背面样品(月壤)研究发现,月球背面月幔相比月球正面更“冷”。     据介绍,这一发现进一步深化了人类对月球“二分性”现象的认识,为月球正面与背面的月幔温度差异提供岩石学与地球化学等科学依据,为月球演化和“二分性”特征研究提供关键科学数据。    &...

G6666次列车上线!郑州一站直达安阳

G6666次列车上线!郑州一站直达安阳
快科技10月4日消息,2025年国庆中秋双节假期,为应对出行高峰,中国铁路郑州局集团有限公司在热门旅游城市间加开59列列车。其中G6666次列车凭借“吉利车次” 的特点,引发不少网友的围观。不少旅客购票时被“6666”这一吉利车次吸引,旅客黄女士表示,起初是看中列车一站直达的便捷性,购票后才发现车次特殊,格外惊喜。据了解,这趟列车为限时高峰线列车,于9月29日至10月10日每日开行,共计12天。列车8时48分从郑州东站始发,9时29分终到安阳东站,全程一站直达,仅需41分钟。...

没人住的房子 为什么会“老”得特别快

没人住的房子 为什么会“老”得特别快
      不知道你有没有见过农村那些空置的老房子,如果长时间没有人住,房子会坏得特别快,有的老屋甚至不出几年就有可能房倒屋塌。这好像和我们的惯常思维有点矛盾,为什么有人住的房子寿命更长,没人住的房子反而先坏掉呢?是不是所有的房屋都这样呢?房屋不维护,确实老得快        我猜你最容易想到的是人对房屋的日常维护。没错,很多农村的老房子都是用土、木、石等自然材料建造的,屋顶的瓦片也常常是小青瓦之类小块的、...