这种常见蔬菜吃多了 居然会引发严重急性肾损伤!
zhiyongz
阅读:
2025-09-24 11:32:34
评论:0
动画片《大力水手》中的主人公波佩在吃了菠菜之后,身体就会变得力大无穷。
日常生活中,菠菜因富含各种维生素及营养物质,味道鲜美,受到很多人的喜爱。可是菠菜并不适合所有人,摄入过量还可能会产生不良后果。
无力犯困、拉肚子 查出严重急性肾损伤
一周前,老陈(化名)隐隐觉得人没啥力气,干活也没什么劲还特别容易犯困,同时还闹起了肚子,每天腹泻 4~5 次。
老伴觉得不太正常就拉他去了当地医院,抽血一检查直接吓一大跳,血肌酐 430μmol/L,腹部 CT 提示左肾多发小结节。
医生仔细询问了老陈发病前都干了些什么,有没有吃特别的食物或者药物,以前是否做过体检,肾功能怎么样,有无基础疾病等等。
老陈回答:“以前身体还好,没啥大毛病,就有点痛风,但是也不吃药,体检没怎么做,发病前好像也没吃什么特别的东西。”
那究竟是什么原因导致老陈的肾损伤如此严重呢?是急性还是慢性的呢?
经过详细检查:
老陈血肌酐依然很高 432μmol/L(57—97μmol/L),尿酸也偏高 600μmol/L(208.3—428.4μmol/L),eGFR 12ml/min(>90ml/min),尿常规未见到尿蛋白和尿隐血,无贫血,尿量没有明显减少,其它免疫、肿瘤相关的血结果均为阴性,B 超提示双侧肾脏大小形态基本正常,这说明老陈的肾损伤大概率是急性的。
查出病因 罪魁祸首竟是菠菜
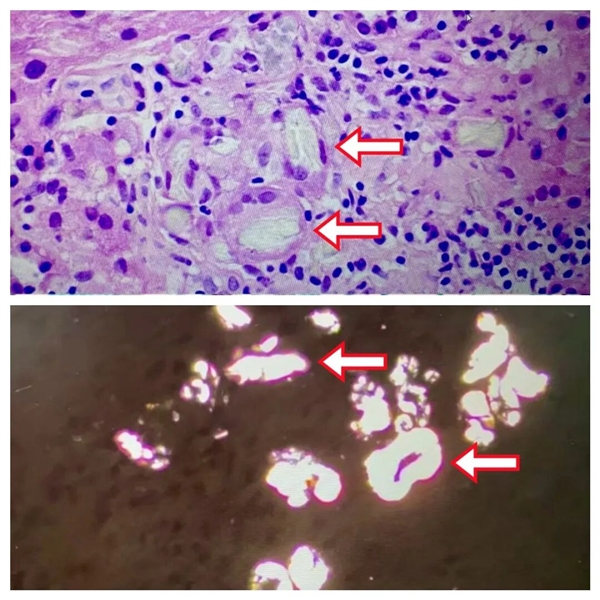
为明确诊断,医生为老陈做了肾活检。
病理检查发现老陈的肾脏病变主要集中在肾小管,可以看见大量亮晶晶的物质沉积,周围还伴有炎症细胞的聚集(图 1)。
至此,老陈肾功能损伤的谜底揭晓,原来老陈这种疾病是草酸盐沉积肾病,是草酸盐结晶大量沉积在肾脏内,导致肾脏结构和功能受损的一类疾病。
图 1

这种常见蔬菜吃多了 居然会引发严重急性肾损伤!
可是老陈的肾脏怎么会有这种物质沉积呢?
在反复追问下,老陈的家人回忆起他在发病前几日连续吃了几天菠菜。
医生指出:“菠菜富含草酸类物质,加上患者之前每天腹泻,这才导致了急性肾损伤。”
通过补液、碱化尿液、利尿、补钙、护肾、降尿酸等一系列治疗后,老陈的肾功能迅速好转(图 2),不久就出院了。
最近一次检查显示,老陈的肌酐已经降到了 111μmol/L。
图 2

这种常见蔬菜吃多了 居然会引发严重急性肾损伤!
“草酸盐沉积肾病”是什么?
草酸盐的代谢主要通过肾脏排泄,少量经肠道排出,其代谢过程受饮食摄入、肠道吸收、肝脏合成及肾脏排泄等多因素影响。少量被吸收进入血液的草酸盐,会经过肾脏过滤,随尿液排出体外。
草酸盐沉积肾病发病的关键在于:尿液中草酸盐浓度异常升高(高草酸尿症),超过了尿液能溶解的限度。此时,草酸盐就会与钙结合,在肾脏的肾小管、肾间质甚至肾小球内形成尖锐的草酸钙结晶沉积下来。
这些结晶就像微小的“玻璃渣”通过直接损伤、阻塞尿路、慢性刺激、结石形成等途径导致肾功能进行性下降,甚至发展为终末期肾病(尿毒症),需要透析或肾移植。
草酸盐沉积肾病,在临床上分为原发性和继发性两大类。
- 原发性草酸盐沉积肾病
是一种罕见但严重的遗传性疾病,由肝脏中特定酶的缺陷导致体内草酸盐生成过多。医生为老陈进行了基因筛查,幸运的是没有阳性发现,说明老陈患的是继发性草酸盐沉积性肾病。
- 继发性草酸盐沉积肾病
更为常见,多见于患有肠道吸收不良综合征的患者,比如炎症性肠病、短肠综合征等,也可见于过量摄入高草酸食物、维生素 C 的人群或者本身肾功能不全的患者。
那么,在日常饮食中,哪些食物的草酸含量高呢?哪些人群不适宜吃?又该如何预防?

这种常见蔬菜吃多了 居然会引发严重急性肾损伤!
这些人不适宜吃草酸含量高的食物
慢性肾脏病患者,胃肠功能较弱者,痛风患者,肾结石患者,服用特殊药物的人群(比如抗凝剂等)。
预防小妙招
大量饮水:目标是维持每日尿量在 2~2.5 升以上(需根据心功能、水肿情况调整),稀释尿液,防止结晶形成。
合理饮食(低草酸饮食):避免或严格限制极高草酸食物。
焯水处理:烹饪高草酸蔬菜前先焯水,可去除部分水溶性草酸。
保证适量钙摄入:膳食钙(如奶制品)应在餐中摄入,以便在肠道结合草酸。钙剂补充需遵医嘱。
均衡饮食,避免过量维 C 补充(一般不超过每日推荐量)。
本文 三波网 原创,转载保留链接!网址:https://tashuo.net/articles/63759.html
声明
1.本站遵循行业规范,任何转载的稿件都会明确标注作者和来源;2.本站的原创文章,请转载时务必注明文章作者和来源,不尊重原创的行为我们将追究责任;3.作者投稿可能会经我们编辑修改或补充。